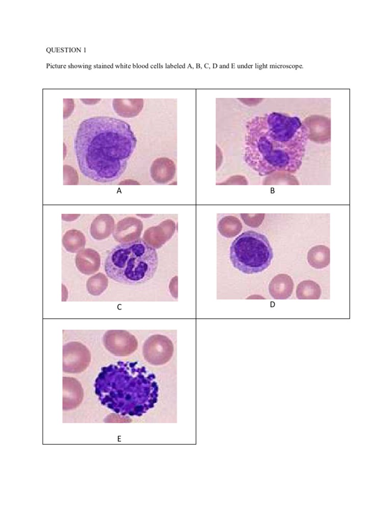
White Blood Cells Labeled
Get White blood cells labeled For Android Free - Top Rated Ultra HD Desktop Background Wallpapers for 4K & 8K UHD TV : Widescreen, Ultra Wide & Multi Display Desktops & Tablet. Today i will share White blood cells labeled wallpaper. From removable abstract wall murals to unique wallpaper with designs you have never seen before, these are the best places to buy trendy home.
These labeled leukocytes localize to a region of inflammation which is visible on the whole body or regional nuclear imaging with bone scintigraphy12.
A9570 has been in effect since 01012008.
Download White blood cells labeled For Android Free
White blood cells labeled. What do you know about them and how they work. White blood cells or wbcs are an important part of your immune system. Briefly white blood cells wbcs are obtained from a blood sample from a patient are tagged with the radioisotope indium 111 and then re injected intravenously into the patient. Although the cells look similar there are two main types b cells and t cells.
Leukocytes is another term for white blood cells colourless cells which circulate in the blood and bodily fluids and are useful in counteracting diseases and foreign substances. These are the second most common white blood cell 20 50 and are easy to find in blood smears. Indium 111 111 inlabeled white blood cell wbc scintigraphy is an imaging modality that is used in the diagnostic evaluation of occult infections when other imaging modalities are either contraindicated or uninformativelabeled leukocytes migrate to and accumulate at sites of inflammation which are then visualized on nuclear imaging. B cells develop in the bone marrow.
A white blood cell also known as a leukocyte or white corpuscle is a cellular component of the blood that lacks hemoglobin has a nucleus is capable of motility and defends the body against infection and diseasewhite blood cells carry out their defense activities by ingesting foreign materials and cellular debris by destroying infectious agents and cancer cells or by producing antibodies. The scan time may vary depending on what parts of the body your doctor wants us to. Your white blood cells will be relabeled by a licensed radio pharmacist with radioactive material. After your blood is drawn you will be free to go but will be asked to return at later time for re injection of labeled white blood cells and again for a scan.
T cells are born in the bone marrow but are matured in the thymus. A9570 is a valid 2020 hcpcs code for indium in 111 labeled autologous white blood cells diagnostic per study dose or just indium in 111 auto wbc for short used in diagnostic radiology. Indium 111 oxine labeled white blood cell wbc scan or in 111 oxine labeled white blood cell scan is a nuclear medicine test which attempts to localize infection andor inflammation by injecting the patients previously extracted and radioactively labeled white blood cells. 111 in labeled wbc scans detect localized.



























:max_bytes(150000):strip_icc()/white_blood_cells-581115905f9b58564c7a051a-5c45e6c04cedfd0001877a06.jpg)























































